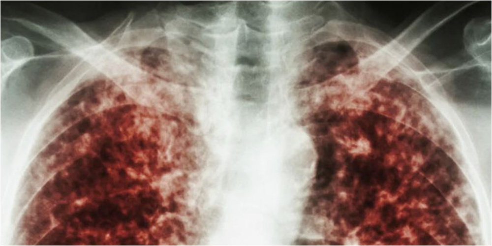
У учителя столичной школы выявлен туберкулез. Какие меры предприняты

После сообщения о заболевании педагога туберкулезом родители учеников школы №37 выразили обеспокоенность мерами реагирования. В санэпидслужбе заявили, что все контактные лица выявлены и обследуются.