Home
Categories
Add source
Login
Kristeligt Dagblad
17 saat, 6 dakika
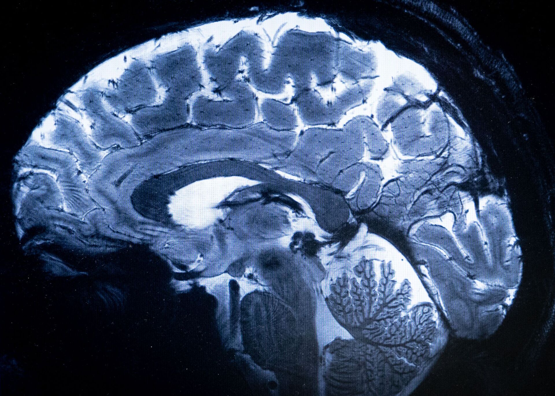
Hjernen er først færdigbagt i 30'erne
Hvornår er man voksen? Ny undersøgelse af hjerner viser, at det er senere end antaget
Go to News Site