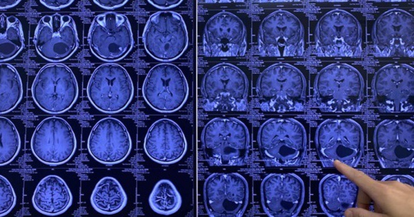
150 phút nghẹt thở với người đàn ông vào bệnh viện trong tình trạng đau đầu dữ dội

Với u não, một sơ suất nhỏ có thể gây chảy máu ồ ạt, dẫn đến di chứng liệt toàn thân hoặc tử vong ngay trên bàn mổ.