Home
Categories
Add source
Login
自由時報
5 saat, 52 dakika
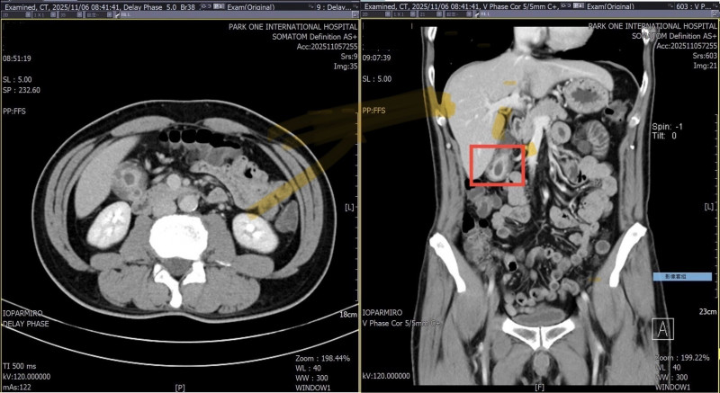
多年腹痛難解竟是膽囊腺肌症 影像易被誤診膽結石
高雄49歲的林姓男子五年來,因心窩悶痛與右上腹脹痛四處求醫,做過胃鏡與多次超音波,皆僅顯示輕微胃炎或無結石異常,卻反覆發作的疼痛,長期困擾卻始終找不到病因,轉診博田國際醫...…
Go to News Site