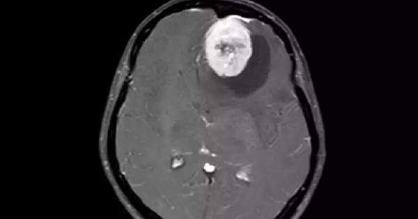
Người phụ nữ bị u màng não khổng lồ, bác sĩ chỉ ra những dấu hiệu dễ nhầm lẫn

Thường xuyên xuất hiện những cơn đau đầu và chóng mặt, nữ bệnh nhân cho rằng mình chỉ bị mệt mỏi do áp lực công việc kéo dài. Tuy nhiên, các triệu chứng không thuyên giảm mà ngày càng nặng hơn, âm thầm che giấu một khối u khổng lồ ở màng não suýt cướp đi tính mạng bệnh nhân.