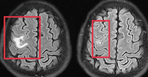
Co giật do sán não suýt nhầm lẫn với u não

(NLĐO) - Tổn thương não do sán khiến bệnh nhân co giật, đau đầu nhẹ - triệu chứng mờ nhạt nhưng dễ bị bỏ sót.