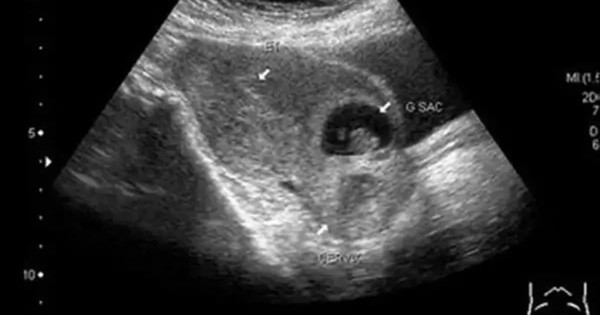
Một phụ nữ 40 tuổi tại Lạng Sơn suýt tử vong do tự ý phá thai khi mang thai tại vết mổ lấy thai cũ - bệnh lý hiếm gặp, nguy cơ băng huyết và sốc mất máu rất cao.