Nữ bệnh nhân đột quỵ bác sĩ chỉ ra nguyên nhân bất ngờ

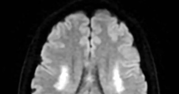
Người phụ nữ 42 tuổi, đã có hai con trai sinh thường, bất ngờ nhập viện trong tình trạng nói đớ và được chẩn đoán nhồi máu não chỉ vài ngày sau khi tiêm thuốc kích thích buồng trứng trong quy trình thụ tinh trong ống nghiệm.