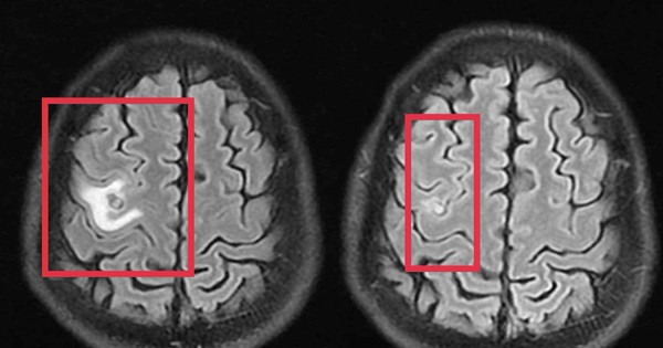
Bệnh nhân nam 39 tuổi nhập viện vì co giật, đau đầu, tổn thương não nghi ngờ u não, không ngờ bác sĩ phát hiện bí mật bên trong.