Home
Categories
Add source
Login
Thanh Niên
5 saat, 25 dakika
Nam thanh niên bị dây kẽm bắn vào mắt gây rách nhãn cầu
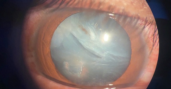
Bệnh nhân D. (32 tuổi, ở Tây Ninh) trong lúc làm việc thì không may bị dây kẽm bắn vào mắt bên phải.
Go to News Site