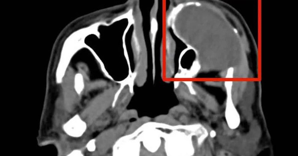
Sự chủ quan khiến khối u âm thầm ăn mòn ổ mắt

VTV.vn - Chủ quan với u nhầy xoang hàm nhiều năm, người bệnh 76 tuổi nhập viện khi khối u ăn mòn xương, xâm lấn sàn ổ mắt, đe dọa thị lực và gây biến dạng khuôn mặt.