Banco de dados dos EUA revela os objetos mais inseridos nos órgãos sexuais masculino e feminino

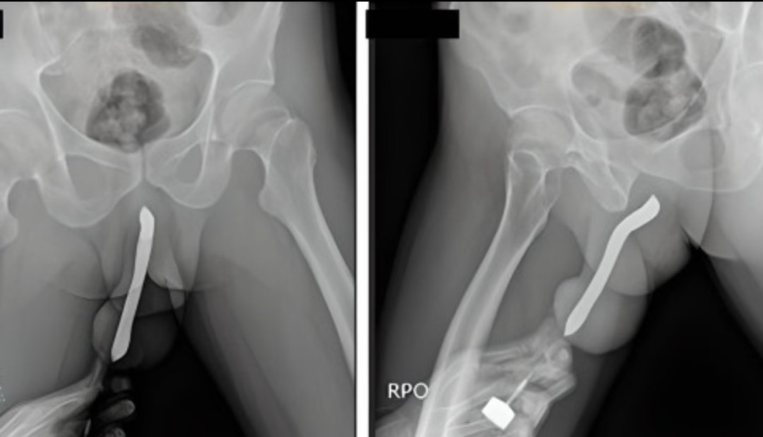
Um número alarmante de pessoas acaba no pronto-socorro todos os anos após inserir objetos nos órgãos sexuais. Seja por curiosidade ou até por fetiches sexuais. O hábito pode ser perigoso e afetar seriamente a saúde. Em que idade uma pessoa é considerada velha hoje em dia, segundo a ciência? (É bem mais do que muitos imaginam) Haters do verão: o que psicologia revela sobre personalidade daqueles que não gostam do calor? O site americano Defector analisou os dados mais recentes, referentes a 2024, do banco de dados da Comissão de Segurança de Produtos de Consumo dos EUA que mantém uma lista de visitas ao pronto-socorro e dos motivos que levam as pessoas até lá. Entre eles: os objetos mais frequentes que aparecem presos no ânus das pessoas. Pênis Bateria Cera de vela Peça de xadrez Vidro Caneta Lápis Pente Caules de maçã Núcleo de maçã Grampo de cabelo Clipe de papel Ímãs Parafusos Grampos Termômetros Fones de ouvido Corda de guitarra Chave Allen Vagina Sinos de Natal Isqueiros Folhas de alumínio Bolas de algodão Palito de picolé Baleias de brinquedo (plástico) Pedras preciosas (como diamantes) Luva de látex Bomba de banho (chuveirinho) Pequena sereia de plástico Sacos de maconha Pingentes para pulseira Vibradores Anel peniano Colheres Escova de cabelo Detergente Tampa do êmbolo Garrafa de cerveja