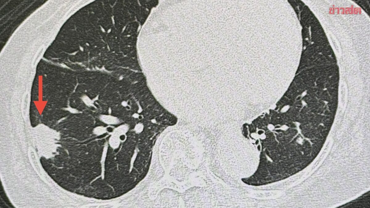
经常清理鸽子粪?小心“真菌”住进你的肺!泰国 84 岁阿婆肺部惊现 3 厘米肿块,罪魁祸首竟然是它 【健康警示 】家人们,快转给家里爱干净的长辈看!清理阳台上的鸽子粪,真的可能致命! 体检发现“不速之客”: 泰国名医 Manoon 医生最近接诊了一位 84 岁的老奶奶。老人家身体一直挺硬朗,不咳嗽也不发烧,结果体检 X 光一照,肺里竟然长了个 3 厘米的大肿块!全家人原本担心是癌症,结果穿刺一看:是隐球菌感染。 阳台上的“隐形杀手”: 老奶奶平时住二楼,楼顶养了好多鸽子。她特别勤快,经常去阳台打扫鸽子留下的粪便。就是在这个过程中,她不小心把粪便里的真菌孢子吸进了肺里,导致了肺部发炎结块。 差点引发脑膜炎: 医生说老奶奶运气好,因为她免疫力还行,真菌只待在肺里。如果这玩意儿跑进血液,钻进大脑,那就是极其危险的“隐球菌性脑膜炎”了! 专家保命建议: 远离鸽群:不要在阳台喂鸽子,更不要让它们落户。 全副武装:如果非要清理鸽子粪,N95 口罩戴好!普通口罩可能挡不住极小的真菌孢子。 湿法清理:建议先喷水打湿再清理,防止孢子随灰尘飘浮被吸入。 网友热评: “天呐,我妈每天都在阳台刷鸽子屎,看完赶紧转发家庭群!” “之前听说过这种病,真的很折磨人,千万不能掉以轻心。” “鸽子虽可爱,粪便全是毒,大家引以为戒吧。” #隐球菌性肺炎# #鸽子粪的危害# #泰国医生提醒# #呼吸道健康# #生活健康小常识# #千万别吸入鸽子粪孢子#