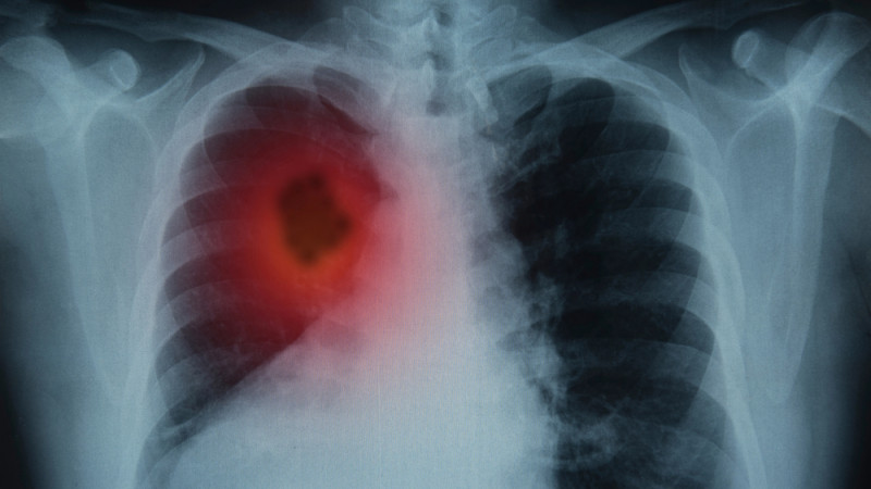
Врач назвал эффективный способ выявления рака легкого

Рак легкого является одним из наиболее агрессивных онкологических заболеваний, но для его диагностики существует действенный метод - НДКТ-скрининг,