Stradiņa slimnīcā veikta unikāla neiroķirurģiska operācija – caur galvaskausu izoperēts audzējs acs dobumā aiz acs ābola

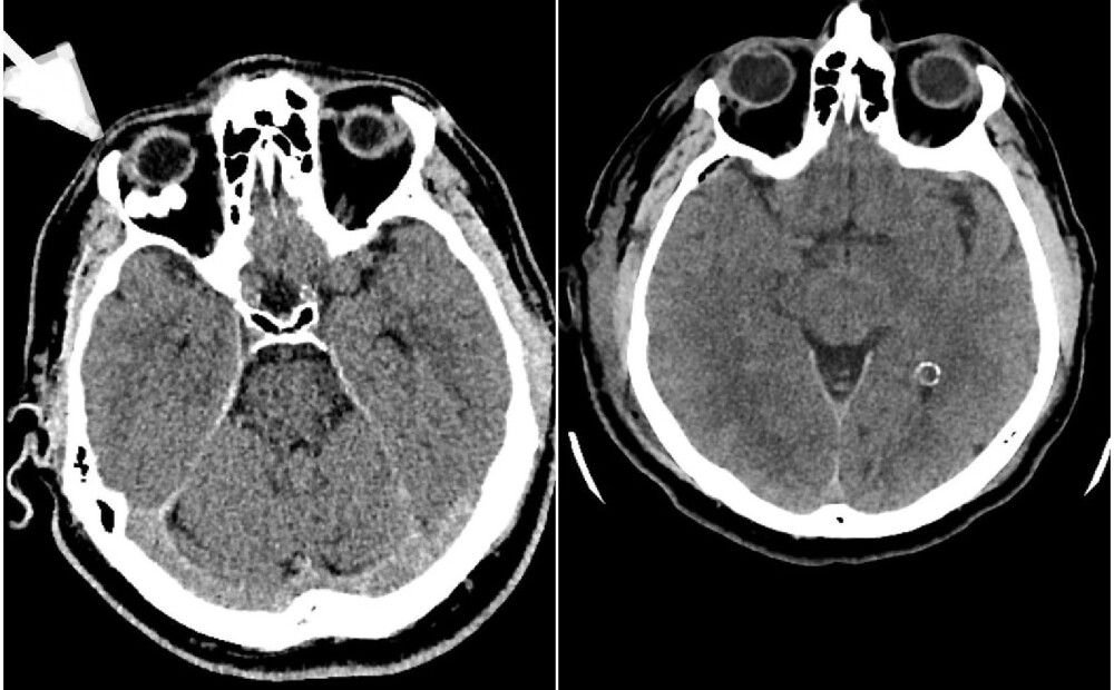
Paula Stradiņa Klīniskās universitātes slimnīcas (PSKUS) Neiroķirurģijas klīnikā 7.janvārī veikta unikāla un ārkārtīgi reta operācija pacientam ar neparastu patoloģiju – blīvu, kalcinētu veidojumu acs dobumā aiz acs ābola, ziņo PSKUS sabiedrisko attiecību daļas vadītāja Vineta Kļaviņa.