Home
Categories
Add source
Login
自由時報
5 saat, 56 dakika
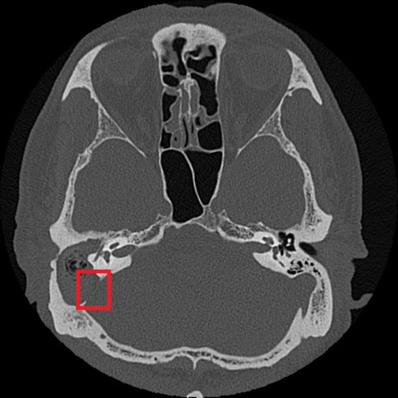
慢性中耳炎勿輕忽 併發膽脂瘤造成聽力與神經損傷
75歲張先生右耳曾罹患慢性中耳炎並合併耳聾,近日右耳出現耳痛、耳脹並伴隨膿性分泌物,於診所治療未見改善,轉至醫院耳鼻喉科就診檢查發現外耳道嚴重紅腫狹窄,內部堆積大量碎屑及...…
Go to News Site