Home
Categories
Add source
Login
自由時報
5 saat, 15 dakika
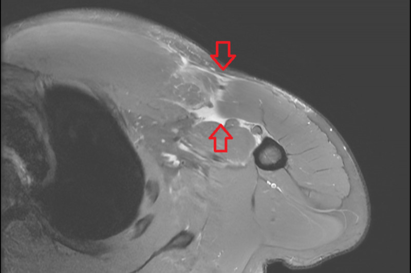
27歲民眾健身胸痛竟是肌腱斷裂 肌腱縫合手術重拾健康
27歲林先生平常有規律健身習慣,某次進行臥推訓練,在休息時放下槓鈴的瞬間,突然感到右側胸口劇烈疼痛,右上肢越發無力,伴隨瘀青腫脹,赴醫院骨科求診,醫師藉由理學檢查與核磁共...…
Go to News Site