Home
Categories
Add source
Login
Haber
4 saat, 29 dakika
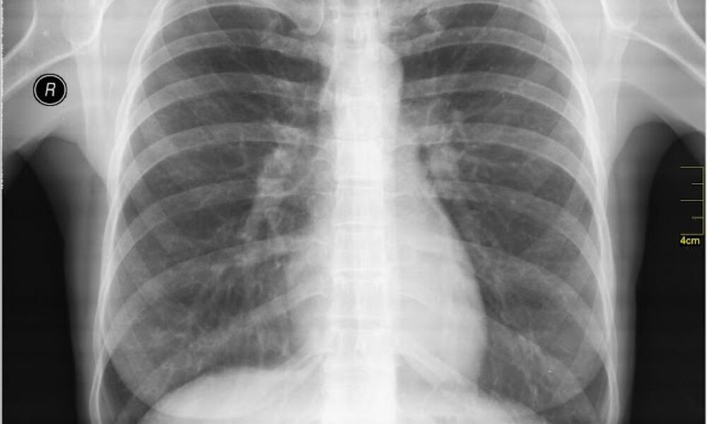
Obostrana upala pluća: Ozbiljna infekcija koja može biti fatalna
Simptomi, faktori rizika i kada se hitno javiti ljekaru
Go to News Site