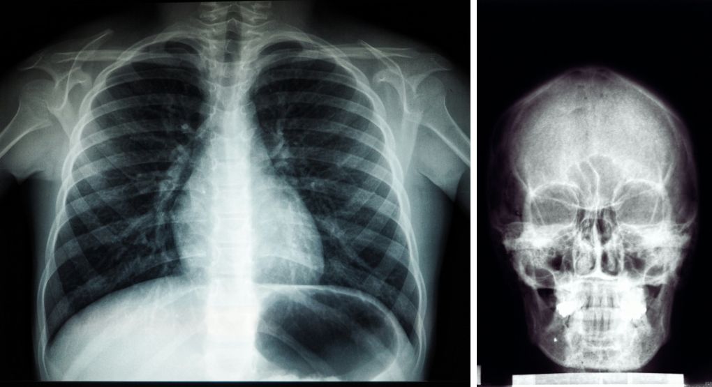
Radiografía: una herramienta diagnostica para detectar problemas de salud

La lectura de una radiografía combina la imagen con los síntomas clínicos del paciente. Publicado en Repretel .