Vàng da tưởng sỏi mật, đi khám phát hiện cùng lúc hai ung thư

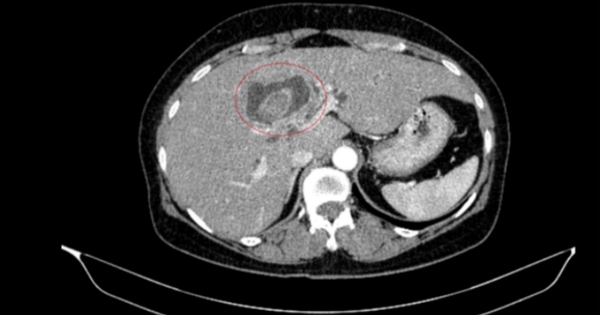
Bệnh nhân 59 tuổi nhập viện vì vàng da, ngứa kéo dài, được phát hiện đồng thời ung thư đại tràng phải và ung thư đường mật trong gan.