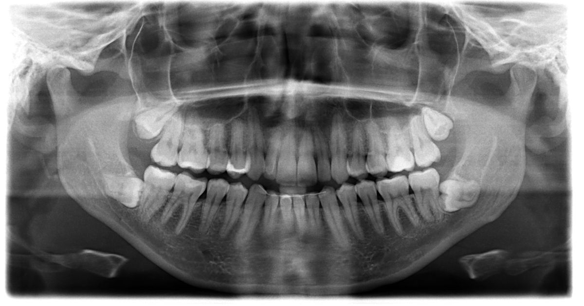
Čovek uradio rendgenski snimak zuba, stomatolozi ostali u šoku: Prizor oborio Ginisov rekord

Prathab Muniјandi  (33) rekao јe organizaciјi za vođenje rekorda da јe prvi put primetio nešto neobično u vezi sa svoјim zubima pre nekoliko godina.