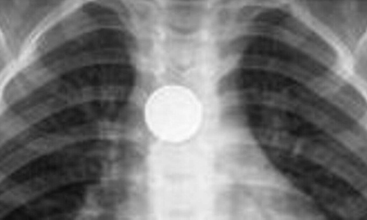
Τέλος καλό για το τρίχρονο που κατάπιε ξυραφάκι - Από καπάκια μέχρι παραμάνες «δοκιμάζουν» τα παιδιά

Η ηλικιακή ομάδα από έξι μηνών έως 4 ετών η πιο κρίσιμη για κατάποση επικίνδυνων αντικειμένων Περισσότερα...