Collector
Científicos españoles desarrollan una técnica para crear materiales vivos inteligentes y programables con células | Collector
Científicos españoles desarrollan una técnica para crear materiales vivos inteligentes y programables con células
Diario CÓRDOBA

Científicos españoles desarrollan una técnica para crear materiales vivos inteligentes y programables con células

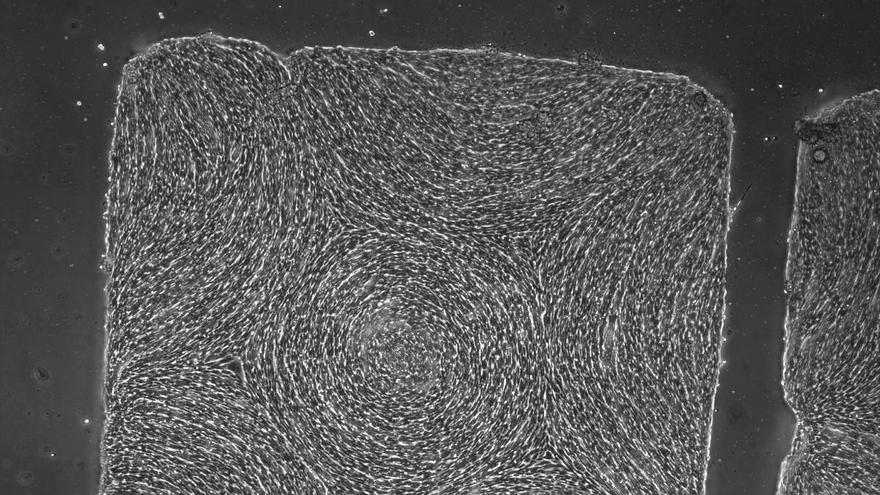
En la naturaleza, los tejidos vivos son capaces de moldearse a sí mismos durante el desarrollo de los organismos hasta dar lugar a órganos y estructuras tridimensionales complejas. Pero pese a nuestros esfuerzos, los humanos todavía no hemos aprendido a reproducir ni a controlar con precisión este proceso en los laboratorios. Hasta ahora. Un equipo de investigadores de ha ideado una técnica capaz de "programar" la forma final de un tejido vivo guiando únicamente la orientación de sus células. Según explican los científicos en un artículo publicado este jueves en la prestigiosa revista 'Science', la clave está en usar patrones químicos que actúan como instrucciones espaciales, forzando a las células a alinearse en direcciones concretas y es precisamente esa organización la que, en última instancia, determina que el tejido adopte una forma tridimensional específica.

Go to News Site