Collector
خار پاشنه چطور ایجاد می‌شود؟ | Collector
خار پاشنه چطور ایجاد می‌شود؟
ILNA

خار پاشنه چطور ایجاد می‌شود؟

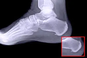
خار پاشنه یا خار استخوانی، زائده‌ای استخوانی است که از پایین پاشنه پا، جایی که استخوان پاشنه به رباط بین پاشنه و قسمت برجسته پا (فاسیا یا نیام کف پا) متصل می‌شود، بیرون می‌زند. خار پاشنه به مرور زمان ایجاد می‌شود. اکثر افراد تا زمانی که برای درد پاشنه به پزشک مراجعه نکنند، متوجه وجود خار پاشنه خود نمی‌شوند. در حالی که خار پاشنه را می‌توان با جراحی برداشت، پزشکان اغلب درمان‌های غیرجراحی را برای کاهش علائم آن توصیه می‌کنند. خار پاشنه چه ارتباطی با التهاب نیام کف‌پایی دارد؟

Go to News Site