Collector
Prrx1, así es el gen que determina si las células de cáncer de mama forman metástasis o permanecen 'dormidas' | Collector
Prrx1, así es el gen que determina si las células de cáncer de mama forman metástasis o permanecen 'dormidas'
Diario CÓRDOBA

Prrx1, así es el gen que determina si las células de cáncer de mama forman metástasis o permanecen 'dormidas'

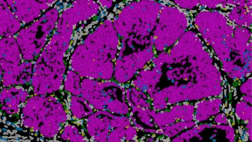
Identificar qué células de un tumor acabarán formando metástasis es uno de los grandes retos en oncología. Un estudio del Instituto de Neurociencias (IN), centro mixto del Consejo Superior de Investigaciones Científicas (CSIC) y la Universidad Miguel Hernández de Elche (UMH), revela que estas células pueden identificarse ya en el tumor primario. A partir de un modelo de ratón y datos de pacientes, el trabajo, publicado en Nature Communications, muestra una población de células en el borde invasivo del tumor capaz de invadir y dividirse o de entrar en letargo. El gen Prrx1 es el encargado de regular este equilibrio, que determina la formación de nuevos focos tumorales en otros órganos, las temidas metástasis, explica el CSIC.

Go to News Site