Collector
Cukrovka i rodinná historie. Nové prohlídky pomohou čelit rakovině slinivky | Collector
Cukrovka i rodinná historie. Nové prohlídky pomohou čelit rakovině slinivky
iDNES

Cukrovka i rodinná historie. Nové prohlídky pomohou čelit rakovině slinivky

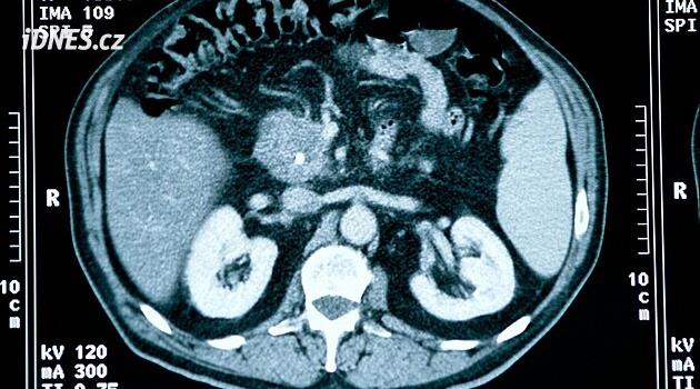
Rakovina slinivky patří mezi nejagresivnější a nejobávanější nádory. Podlehli jí například herec Patrick Swayze nebo podnikatel Steve Jobs, z českých osobností pak například Vladimír Dlouhý. Každý rok v tuzemsku lékaři odhalí 2 500 nových případů této rakoviny, přičemž až 2 300 lidí na ni umírá.

Go to News Site