Collector
Cancer du pancréas : un candidat-médicament double la survie des patients | Collector
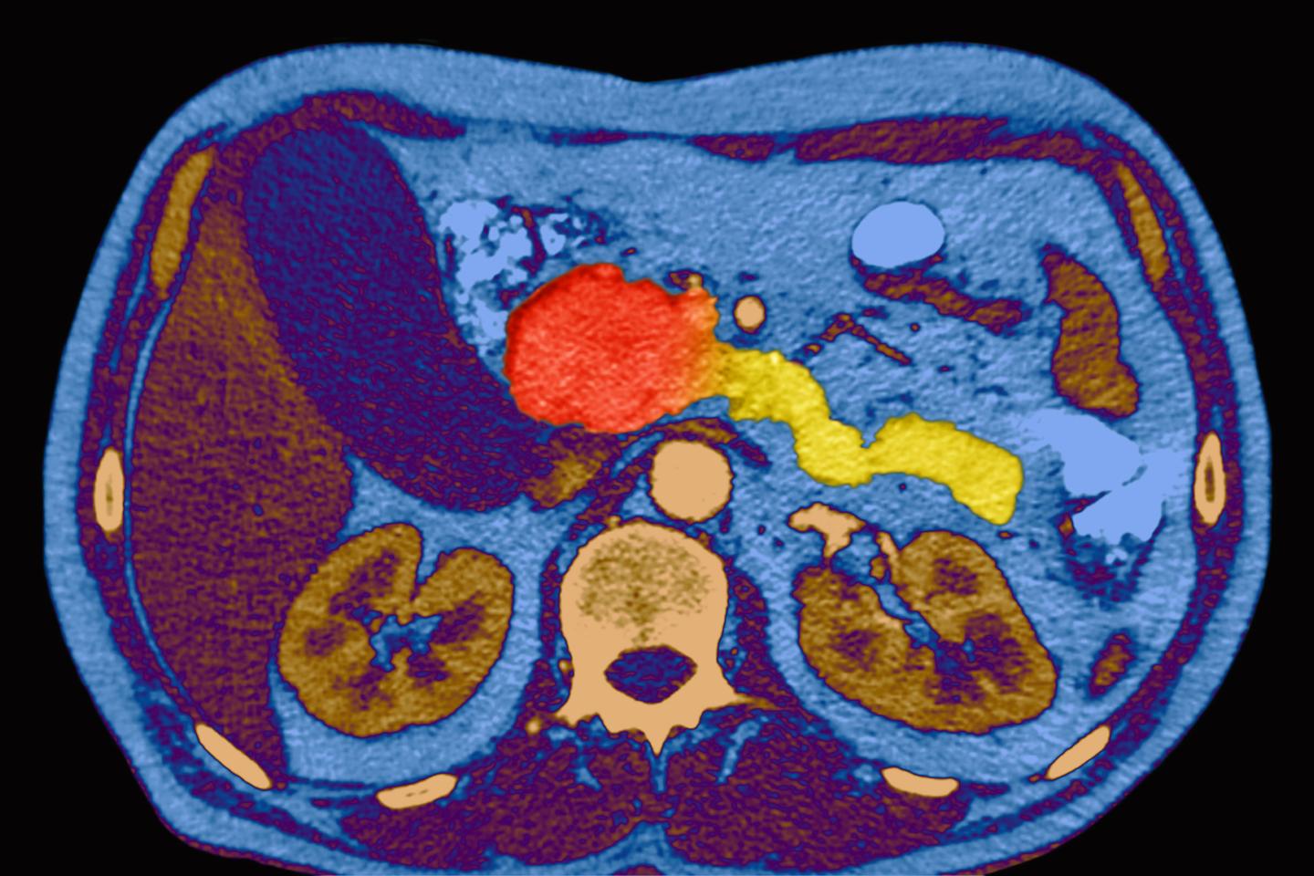
Cancer du pancréas : un candidat-médicament double la survie des patients
Le Monde Science

Cancer du pancréas : un candidat-médicament double la survie des patients

Une molécule innovante a permis à des malades en phase métastatique de voir leur espérance de vie doubler par rapport au groupe traité par la chimiothérapie standard. Du jamais-vu pour ces tumeurs très agressives.

Go to News Site