✕
CURRENT NEWS
SPORTS
MAGAZİNE
SCİENCE
BUSİNESS
TRAVEL
AUTOMOBİLE
TECHNOLOGY
14歲少年癲癇規律服藥仍頻繁發作 疑腦皮質發育不良 | Collector
自由時報
14歲少年癲癇規律服藥仍頻繁發作 疑腦皮質發育不良
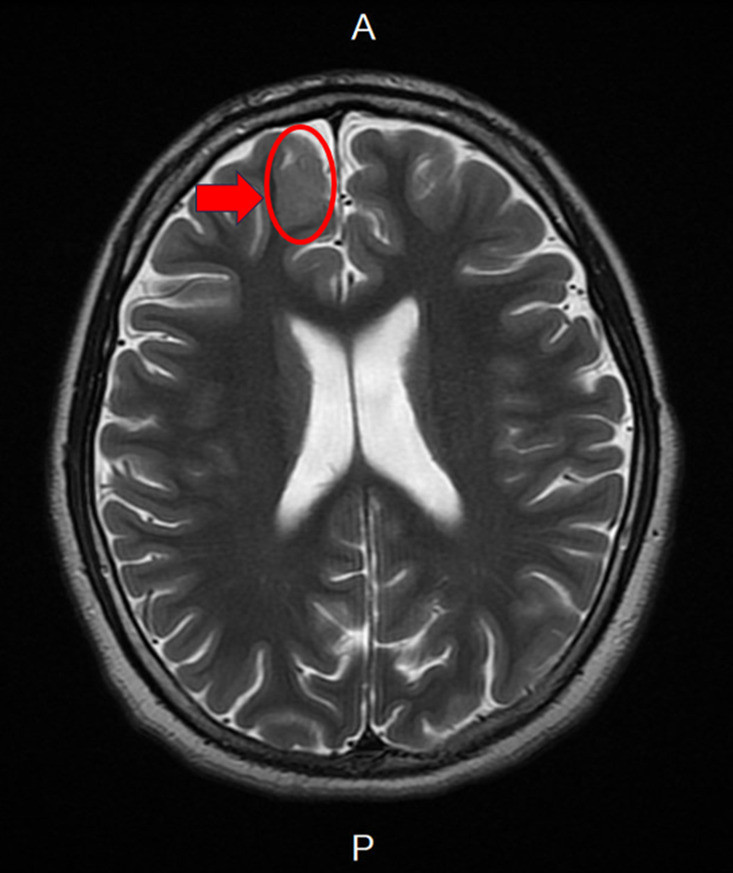
14歲自閉症男孩3歲起因癲癇在外院接受抗癲癇藥物治療,但仍頻繁發作,且意識喪失以及嚴重學習障礙,因癲癇控制不佳,轉至新竹臺大分院就醫,小兒部醫師張寶玲評估發現,男孩腦波檢...…
Go to News Site