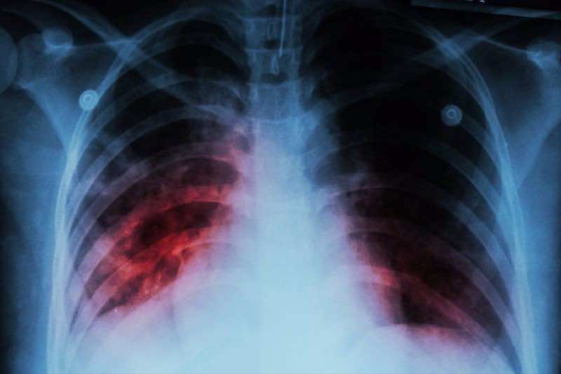
Over Half of New Tuberculosis Cases in Morocco Affect Organs Beyond Lungs
Morocco World News

Over Half of New Tuberculosis Cases in Morocco Affect Organs Beyond Lungs

Morocco’s Ministry of Health and Social Protection has revealed that 53% of new tuberculosis (TB) cases recorded in 2025 involve forms of the disease that affect parts of the body outside the lungs. The post Over Half of New Tuberculosis Cases in Morocco Affect Organs Beyond Lungs appeared first on Morocco World News .

Go to News Site