Le ministère renforce le dépistage et la prise en charge  : 53% des nouveaux cas de tuberculose au Maroc sont des formes extra-pulmonaires
Aujourd'hui

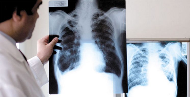
Le ministère renforce le dépistage et la prise en charge : 53% des nouveaux cas de tuberculose au Maroc sont des formes extra-pulmonaires

La lutte contre la tuberculose demeure une priorité de santé publique.  Journée mondiale : Les données épidémiologiques du ministère de la santé et de la protection sociale révèlent que 53 % des nouveaux cas de tuberculose enregistrés au Maroc en 2025 concernent des formes extra-pulmonaires. Le ministère souhaite réduire le taux de mortalité de […]

Go to News Site