
SpaceX completa 11.º lançamento de teste do Starship
O propulsor desprendeu-se e fez uma entrada controlada no Golfo do México, como planeado, com a nave espacial a deslizar pelo espaço antes de descer para o Oceano Índico
O propulsor desprendeu-se e fez uma entrada controlada no Golfo do México, como planeado, com a nave espacial a deslizar pelo espaço antes de descer para o Oceano Índico
Foi campeão de vela, fundou a discoteca POP, conquistou a Câmara do Porto, elege as figuras dos últimos 50 anos da cidade, e escolhe o melhor 11 do FCP, sem esquecer, depois de provocado, Rui Rio.
A Marinha é uma escola de vida, mas também de limites. Obriga a enfrentar o cansaço, o medo, a solidão e, por vezes, o perigo. Ensina o valor do coletivo sobre o individual, da missão sobre a conveniência, do dever sobre o desejo. É, portanto, tudo aquilo que a sociedade contemporânea parece querer esquecer.
"Os Estados Unidos condenam o embate e o uso de canhões de água por parte da China", declarou o porta-voz adjunto do Departamento de Estado.
O Governo reviu a proposta de Lei da Nacionalidade para evitar riscos de inconstitucionalidade. Mantém-se a perda de cidadania em casos de fraude ou crimes graves
Nos Açores, todas as ilhas encontram-se sob aviso amarelo até às 18h00, devido à previsão de precipitação por vezes forte, acompanhada de trovoada.
Segundo o jornal Público, a causa do incidente estará relacionada com uma falha de manutenção. O engate que ligava duas carruagens partiu-se, provocando a separação de uma delas.
Após munições terem sido detetadas, a PNTL devolveu imediatamente o material para dentro do contentor, selou-o e delimitou a área com fita de segurança.
Contactado pelo Eco, Centeno não confirmou o interesse no cargo nem fez comentários.
Gerard Piqué ha vuelto con fuerza a su proyecto de la Kings League. Lo ha hecho presentando a sus dos nuevos presidentes, Marcelo, ex del Real Madrid, y Plex, Youtuber. En un vídeo del segundo, el excentral del Barcelona ha reconocido que su "mayor humillación" fue en El Sadar.
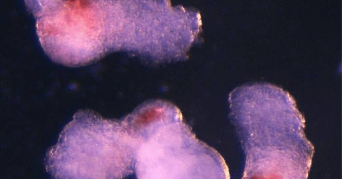
O novo modelo, semelhante a um embrião humano, simula as alterações celulares que ocorrem durante as fases iniciais do desenvolvimento humano, quando os órgãos e o sistema sanguíneo começam a formar-se.
A opositora venezuelana María Corina Machado após vencer o Nobel da Paz
A vitória do PSD nas autárquicas terá provado a estratégia de Montenegro? E até que ponto esta é mesmo uma derrota do Chega? E agora, o que se segue?
João Félix já treinou sem aparentes limitações na segunda-feira, mas Gonçalo Inácio e Rafael Leão estão dispensados por lesões
Depois de um duelo no court, os primos e rivais Vacherot e Rinderknech não conseguiram conter a emoção durante a entrega de prémios. E o apuramento de Cabo Verde para o Mundial de 2026.
Uma conhecida influenciar francesa foi condenada a um ano de prisão suspensa e a uma multa de 150 mil euros por "práticas comerciais enganosas". Divulgava cremes milagrosos e chás para emagrecer.